waiting
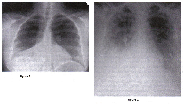
Le Diko - pneumonie à